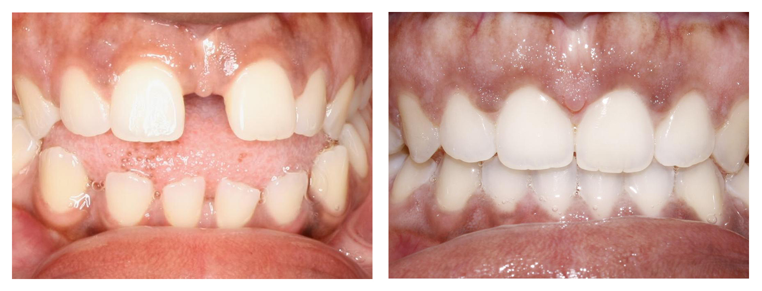
Experience Matters

At Santa Monica Orthodontics, we want our patients to come away from their orthodontic experience smiling. This means that, if you have concerns or are looking for an alternative to traditional teeth straightening methods, we provide options for you. One of our most popular orthodontic treatments in Santa Monica, California, is Invisalign clear aligners.

Request an Appointment